Calamari Clots Part 1: Morphological and Histological Analysis of Strange Blood Clots Reported Since 2021
A new pathology study examines unusual intravascular casts and finds structures that differ from both postmortem clots and conventional thrombi.
A recent preprint study, published by Bruce Rapley and Matt Shelton on January 26 2026, examines a newly reported phenomenon in vascular pathology known as anomalous intravascular casts (AICs). These unusual structures, also referred to as “calamari clots”, have reportedly been observed by embalmers and clinicians in multiple countries since early 2021, coinciding with the rollout of experimental mRNA gene therapy injections for COVID-19. The study is the first in a trilogy of papers that investigate their structure, composition, and potential biological significance.
The researcher’s primary aim with this initial paper is to determine whether these structures represent known clot types or whether they constitute a distinct pathological entity. To answer this question, researchers performed blinded morphological and histological analyses of samples collected during routine postmortem procedures, meaning they examined the shape (morphology) and microscopic tissue structure (histology) of clot samples taken from the bodies of deceased individuals without knowing the samples’ origin during analysis.
Reports of Unusual Vascular Structures
Beginning in 2021, licensed embalmers began reporting the removal of firm, rubber-elastic intravascular casts from the vascular systems of the deceased. Unlike typical blood clots, these casts were described as white or cream colored, elongated, and resistant to fragmentation.
Many embalmers reported that these structures were capable of maintaining the shape of the vascular tree, often extending through natural branching points of arteries and veins. Survey data from embalmers suggests that these observations were new and frequent since the beginning of the covid-19 genetic “vaccine” campaigns.
These reports initially emerged outside formal scientific literature, raising questions about whether the phenomenon represented a known postmortem artifact or an undocumented pathological structure.

Additional reports have described similar white fibrous material appearing in living patients. In one example documented in the study, a patient collected white fibrous casts from a post-surgical lymphatic drainage tube. The material showed minimal red blood cell content, suggesting it did not originate from ordinary coagulated blood.

Together, these observations motivated the researchers to conduct systematic structural analyses.
Study Design and Methods
The researchers collected samples of the unusual casts from embalmers and pathologists between 2022 and 2024. These samples were taken from postmortem waste streams during routine mortuary procedures and preserved in buffered formalin.
Each specimen was assigned a randomized code before analysis to ensure that laboratory investigators remained fully blinded to the origin or context of the samples.
Two types of analysis were performed:
Gross morphological examination to evaluate the physical characteristics of the casts
Histological analysis using microscopic staining techniques
Researchers documented key physical properties including length, diameter, branching structure, surface texture, and elasticity. Mechanical behavior during cutting was also noted, as this property helps distinguish different types of biological materials.
For histological examination, thin sections were prepared and stained with hematoxylin and eosin (H&E), a standard pathology stain used to reveal cellular structures and fibrin networks.
Comparison with Known Postmortem Clots
Before examining the anomalous casts themselves, the researchers compared them with well known types of postmortem clotting.
Typical postmortem clots fall into two recognizable categories:
Currant-jelly clots, which are dark red and gelatinous
Chicken-fat clots, which are pale yellow and fatty in appearance
Both forms are soft, fragile, and easily broken apart. They lack internal lamination and do not exhibit tensile strength.

These known clot types served as a reference point for evaluating whether the anomalous casts represented conventional coagulation.
Gross Morphology of Anomalous Intravascular Casts
The anomalous casts differed significantly from standard clot types.
Many specimens ranged from a few millimeters to more than 25 centimeters in length. They were typically opaque white and displayed minimal red discoloration. In many cases they formed complex branching structures consistent with the geometry of the vascular system.
Researchers also noted that these casts demonstrated strong elastic resistance when stretched. Rather than fragmenting easily, they behaved as cohesive structures capable of maintaining their shape.
To ensure consistent analysis across laboratories, the samples were subdivided and distributed to multiple research facilities for independent examination.

One unusual mechanical property was repeatedly observed when the material was cut with a scalpel. Instead of shearing silently like ordinary clots, the casts produced a distinct squeaking sound. This behavior is associated with elastic materials that exhibit stick-slip friction when cut.
Such acoustic behavior suggests the presence of a tension-bearing internal structure rather than a soft gelatinous clot.
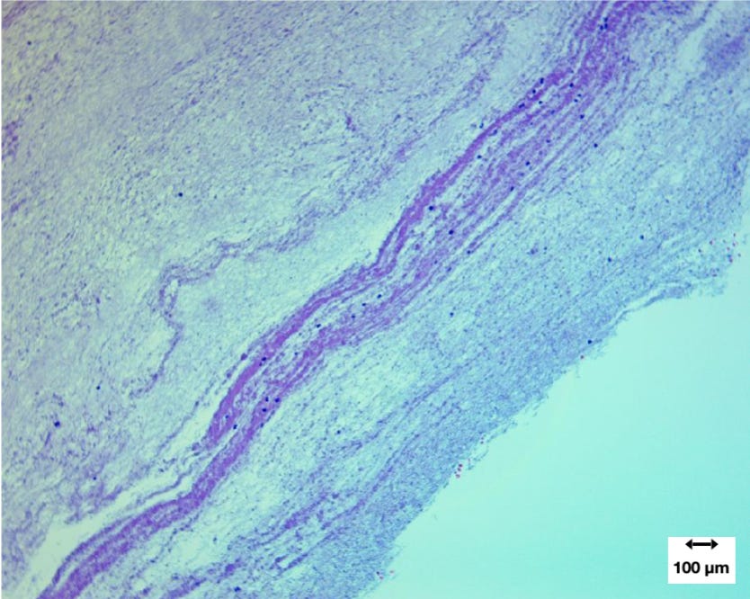
Histological Examination
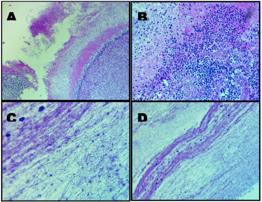
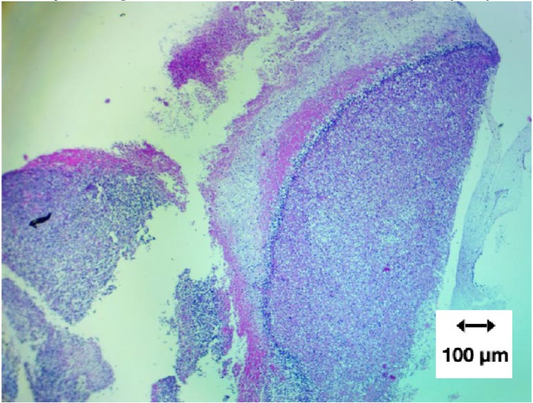
Microscopic analysis provided further insight into the internal architecture of the casts. Samples preserved in formalin were embedded in paraffin, sectioned into thin slices, and stained for microscopic examination.
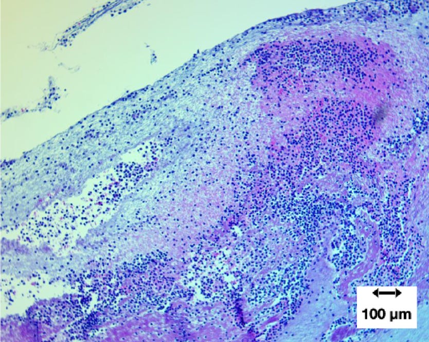
A composite set of micrographs revealed heterogeneous internal architecture, including regions of dense fibrin fibers and scattered cellular material.

At low magnification, researchers observed irregular fibrous matrices with large void spaces. These voids are common artifacts produced during tissue processing when unsupported regions collapse or detach.

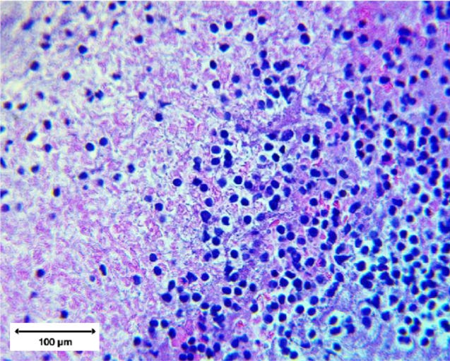
At intermediate magnification, clusters of cellular nuclei appeared scattered throughout the fibrin network. However, the overall cellular density was low compared with typical thrombi.

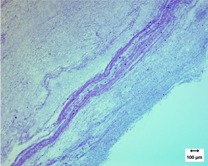
One of the most important findings was the presence of Lines of Zahn, layered structures that form when blood clots develop in flowing circulation. These alternating bands of fibrin and cellular material are considered a hallmark of antemortem clot formation.

Although these laminations were not present throughout the entire structure, their presence indicates that at least part of the material formed while blood was actively circulating. This means that these “calamari clots” can and do form while C-19 injected individuals are still alive, not just after their death as some have proposed.
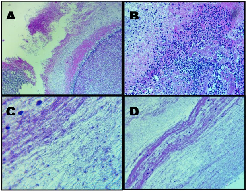
High Magnification Findings
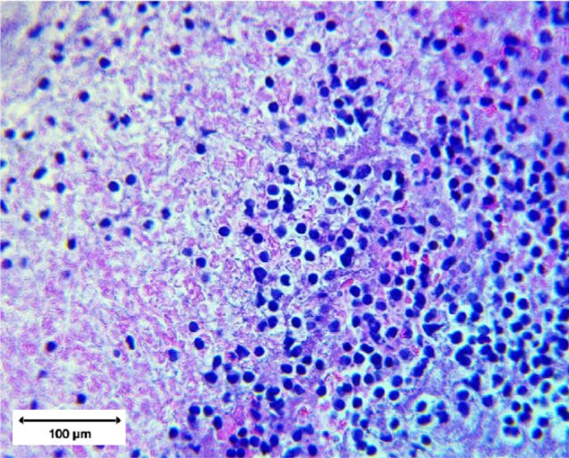
At higher magnification, the fibrin architecture became more apparent. Researchers observed tightly interwoven fibrin strands forming dense networks within the casts.
Distorted leukocytes were occasionally embedded within this matrix. Many of these cells showed signs of membrane rupture and nuclear extrusion.

Interestingly, intact red blood cells were largely absent. Instead, streaks of hemoglobin suggested that erythrocytes had broken down within the structure.
In some regions, fibrin fibers formed banded structures resembling partial Lines of Zahn, although these laminations were incomplete.

Distinct Structural Phenotype
Across all samples examined, the anomalous casts displayed a consistent structural pattern.
Compared with ordinary postmortem clots, the casts showed:
strong elasticity and tensile strength
coherent branching structures that followed vascular pathways
white coloration rather than red or yellow clot material
laminated fibrin structures indicating partial formation in flowing blood
They also differed from classical antemortem thrombi, which typically contain large numbers of trapped blood cells and fully developed Lines of Zahn.
Instead, the anomalous casts displayed dense fibrin networks with minimal cellular content and unusually resilient mechanical properties.
Implications
The researchers conclude that anomalous intravascular casts do not fit existing pathological descriptions of either postmortem clots or conventional thrombi.
While morphology alone cannot determine their origin, the findings suggest that these structures may represent a previously uncharacterized intravascular phenomenon.
These findings have implications for vascular pathology, forensic investigation, and our understanding of one of the unusual pathologies that have arisen following Covid-19 genetic spike protein producing injections. Advancing our understanding of this pathology is foundational to advance the treatment needed by many.
Further investigation is required to determine their biochemical composition and possible mechanisms of formation. The subsequent papers in the research trilogy examine the elemental composition and proteomic structure of the casts. I will report on these studies next.
Credits & Sources
Special thanks to the researchers Bruce Rapley and Matt Shelton and New Zealand Doctors Speaking Out with Science (NZDSOS) for sponsoring their important work.
Source Material
Read the official pre-print article: Click here
Recent Article
Weaponised Censorship and the Cancer Link: Click here
Organization Website
New Zealand Doctors Speaking Out with Science (NZDSOS): Click here
Related Conference Coverage
Empowering Change 2024: Key Insights from the NZDSOS Conference: Click here
NZDSOS is an independent group of New Zealand medical professionals advocating for scientific transparency, open debate, and evidence-based medicine.





Sometimes I wonder if it's more than just clots that some aren't brave enough to speak about without being censored even today. I recall a Mr Loonie talking about these clots many years ago ;he certainly was vilified on many levels . Could just be me, but are the photos dated ?
Gp once showed me a "bone density" photo saying mine should look like what I was shown . After some research, I found the same photo in some medical book - it was a 15 year old female ;I was was in my late fifties at that time - much older now maybe wiser for pushing back years ago re treatments for prevention.